マウスピース矯正
インビザライン
透明なマウスピース型の矯正装置なので、歯に装着しても目立ちません。薄く、滑らかで、違和感や会話にもほとんど影響はありません。
また、自分で取り外しが可能で、治療中も歯磨きや食事は普段どおりです。
マウスピース型のため、装置が粘膜や舌にあたらず、痛みがありません。噛んだ時には力が装置全体に分散するので、移動中の歯の痛みも軽減されます。
また、プラスチック製なので、ワイヤー矯正に比べて金属アレルギーを起こす心配がありません。

インビザラインの特長
- 1透明で目立ちにくい
透明なマウスピース型の矯正装置なので、歯に装着しても目立ちません。薄く、滑らかで、違和感や会話にもほとんど影響はありません。
- 2口腔内を健康な状態に保つ
ご自身で取り外しが可能なため、治療中も歯磨きや食事は普段どおりです。いつでも簡単に歯のお手入れができ、口腔内を健康な状態に保つことができます。
- 3痛みが少ない
マウスピース型のため、装置が粘膜や舌にあたらず、痛みがありません。噛んだ時には力が装置全体に分散するので、移動中の歯の痛みも軽減されます。
- 4歯の移動を画像と動画で確認
3次元治療計画ソフトウェアを通じて、治療開始から完了に至るまでの歯の移動を、コンピューター画面上で画像および動画として確認することができます。
- 5通院回数が少ない
1ヶ月半から3ヶ月程度で、定期的なチェックのため通院していただきます。忙しい方や遠方からの通院も回数が少なくてすみます。
2週間ごとに新しい装置に変えるのはご自身で行います。
- 6金属アレルギーの方も矯正可能
プラスチック製なので、ワイヤー矯正に比べて金属アレルギーを起こす心配がありません。

お手入れ・通院
装置の取り替えは2週間に1回、ご自身で行っていただきます。
1ヶ月半から3ヶ月程度で、定期的なチェックのため通院していただきます。忙しい方や遠方からの通院も回数が少なくてすみます。
また、通院の際は3次元シュミレーション(クリンチェック)で歯の動きを確認することができます。治療の終わりまでの期間が想定でき、いつまで通うのかわからない不安がありません。
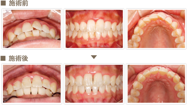
実際に装着した例
インビザラインで目立ちにくく。

当院でのインビザライン治療例
- 症例 1
-
主訴:前歯をきれいに並べたい
年齢:25歳 女性
治療法:部分矯正
- 症例 2
-
主訴:前歯をひっこめたい
年齢:21歳 女性
治療法:部分矯正
- 症例 3
-
主訴:しっかり噛むように並べたい
年齢:16歳 女性
治療法:全顎矯正
矯正シミュレーション
マウスピース矯正 Q&A
- インビザラインの見た目はどうですか?
- 透明に近く目立ちにくいので、一般的に装着していることにほとんど気づかれません。
- マウスピース装着の準備として歯と歯の間を削ることはあるのでしょうか?
- 患者様の歯列の状態によって異なります。歯列矯正治療をおこなう際には、歯牙を移動させるスペースを確保するため、あるいは歯の形や上下のバランスを整えるためなど、場合によってエナメル質を削ることがあります。この場合はもっとも硬いエナメル質の範囲内で少し削るために、痛みも少なく、削ったことによる虫歯のリスクも低いと言われていますが、治療の詳細については担当の歯科医師に相談してください。
- 通院は必要ですか?
- 月に一度や、数か月に一度など、治療の進み具合や歯科医院によってさまざまです。治療経過の確認などのための通院は必要になります。詳しくは治療を受けられる前に歯科医とご相談ください。
- 1日のインビザラインを装着する時間は?
- インビザラインの種類によって違いますが、1日に装着する時間が決まっています。指定された時間装着しましょう。マウスピースを装着し忘れたり装着時間が短かったりすると、計画通りに治療が進まず、治療期間が延びてしまうことがあります。より良い結果のためには、患者さまご自身できちんと管理することがとても大切です。
- インビザラインで治療中の飲食は?
- インビザラインは取り外しが可能なため、治療中も普段通りに歯みがきができます。いつでも取り外して歯のお手入れができるため、健康な口腔衛生を保ちやすくなります。
- 矯正治療中の歯磨きはどのようにすればいいのでしょうか?
- マウスピースは取り外しが可能なため、治療中も普段通りに歯みがきができます。いつでも取り外して歯のお手入れができるため、健康な口腔衛生を保ちやすくなります。
- 治療の終了後にもマウスピースをつける必要がありますか?
- はい。治療後には歯を最終的に維持するためにリテーナー(保定装置)を装着する必要があります。リテーナーは、かかりつけの歯科医師に作製してもらうことができます。
- 歯列矯正は子どものうちに始めた方がいいのでしょうか?
- 一般的に、永久歯が生え揃う前から治療をはじめる「第1期治療」と、永久歯が生え揃ってから行なう「第2期治療」があります。矯正治療の理想的な開始時期は、お子様の歯の嚙み合わせ状態やあごの成長具合などによって異なりますので、まずは、歯科医師に相談してみることをお勧めします。
当院の矯正治療
主に関西の歯科医師が集まり、矯正歯科治療の技術の向上について研鑽しあう矯正会に所属。
またそこでは矯正のインストラクターとして、数多くの後進の指導にあたってきました。矯正の方法や計画についてご質問などがある方はぜひ一度ご相談にお越しください。
サポート致します。DENTAL ORTHODONTIC
歯科における矯正治療とは、悪い歯並びや噛み合わせを、正しくかみ合うようにして、綺麗な歯並びにしていく治療です。
歯並びに問題があったり、上下の歯のかみ合わせが悪い状態のことを不正咬合といいます。
不正咬合になると、審美性(見た目)の問題だけでなく、下記のような
- 食べ物がよくかめない
- 発音障害
- 虫歯・歯周病になりやすい
- 顎の成長・発育を妨げる
- 顎関節に負担がかかる など
当院では審美性だけでなく、咬合関係、機能性、衛生面といったお口の健康の問題も改善できるように治療していきます。
矯正料金
インビザライン矯正 | 800,000円~(税込 880,000~) ※症例の難易度によって異なります。 |
精密検査 60,000円(税込 66,000) |
---|---|---|
部分矯正 | 350,000円~(税込 385,000~) | 精密検査 30,000円(税込 33,000) |
オプション
保定装置 | 20,000円〜(税込 22,000〜) |
---|---|
アンカー | 20,000円(税込 22,000) |
※毎月調整料3,000円(税込 3,300)かかります。